If, like me, you’ve been wondering whether or not to get cosmetic dentistry done, then this is the post for you.
I’ve been struggling with bad teeth all my life – from really hectic toothaches to just overall bad-looking teeth.
Dr Mark Bowes from Enamel Dentistry in Green Point, Cape Town, is the founder of the South African Academy of Aesthetic Dentistry (SAAAD as well as founder and president of the Digital Dentistry Society of South Africa.
I asked him more about the ins and outs of cosmetic dentistry.
What is the status quo of cosmetic dentistry in SA?
Cosmetic dentistry is at the cutting edge. We are lucky to have some of the worlds opinion leaders in South Africa.
Can you comment on some of the trends in cosmetic dentistry?
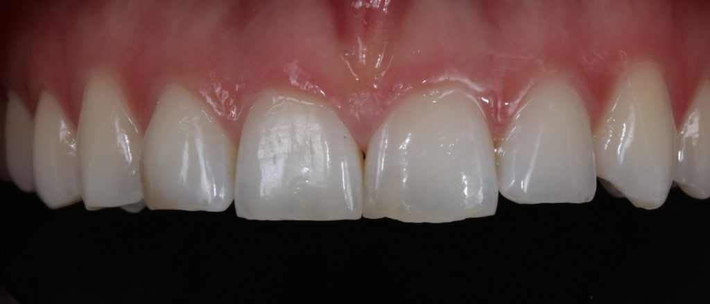
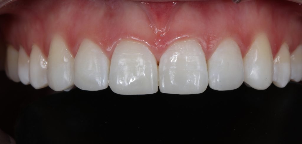
While the demand for beautiful smiles is greater than ever, the trend must be towards procedures that have little, or even better, no damaging effects on the longevity of the teeth. In the past many dental procedures involved the drilling down of perfectly healthy teeth just for cosmetic enhancement. This is unacceptable today. One of the most exciting developments is “Lite dentistry” – here teeth are simply moved into the perfect position (more about this later as part of Digital Smile Design) then lightened with new whitening procedures. The teeth are then transformed into beautiful, natural shapes with resin bonding. The most natural smiles without any drilling.
What do people need to know in advance if they wish to have procedures done?
Maintenance is the key to healthy mouths, so it is important to understand and follow the advice given by both dentist and hygienist.
What are the costs involved (on average)?
This could be something simple like some tooth whitening and resin bonding; it could be as little as R8 800 to transform your smile.
What are some of the benefits of having cosmetic dentistry done?
Cosmetic dentistry will certainly raise your self-esteem. There are studies that show having a pleasing smile might even be the deciding factor in securing a perfect job.
Any drawbacks?
If the treatment is carried out in a responsible way then there will be no drawbacks.
What advice do you have for people wishing to have cosmetic dentistry?
Make sure you understand the treatment and your dentist understands what minimally invasive dentistry means. Another key element is utilising Digital Smile Design – this is sophisticated software that creates the perfect result understanding that smiles need to be in harmony with each patient. Our patients have the ability to be involved with this design process so creating an emotional bond to the proposed treatment.
Enamel Dentistry is situated at 13 Hudson Street Green Point, Cape Town.
Tel: 021 418 2048
Lead image: Pexels.




